Clinical Image
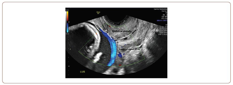
Umbilical Vessels Traversing Cervical Os: Vasa Previa
Andrea Fischlowitz1* and Dr. Ryan E Longman2
1University of Chicago Medicine, Fetal and Neonatal Care Center, USA
2University of Chicago Medicine, Obstetrics and Gynecology, USA
Andrea Fischlowitz, University of Chicago Medicine, Fetal and Neonatal Care Center, USA.
Received Date:May 07, 2021; Published Date: May 13, 2021
Clinical Image
This image demonstrates the ultrasound diagnosis of vasa previa in a 37-year-old primigravid woman who presented for a routine detailed fetal anatomic survey at 21 weeks gestation. Obstetric management consisted of pelvic rest, serial fetal growth scans starting in the late second trimester, and antenatal corticosteroids for fetal lung maturity at 33 weeks. Due to the risk of rapid fetal exsanguination with rupture of the vasa previa, the patient was admitted to the antepartum service at 35 weeks for observation. The patient fortunately experienced an uncomplicated antepartum course with the delivery of a healthy infant via nonemergent cesarean section at 36w3d. The placental pathology was consistent with the prenatal diagnosis of a velamentous cord insertion leading to the vasa previa.

Acknowledgement
None.
Conflict of Interest
Authors declare no conflict of interest.
-
Andrea Fischlowitz, Dr. Ryan E Longman. Umbilical Vessels Traversing Cervical Os: Vasa Previa. W J Gynecol Women’s Health. 4(5): 2021. WJGWH.MS.ID.000600.
Umbilical vessels, Cervical, Vasa previa, Ultrasound, Gestation, Obstetric management, Antepartum
-

This work is licensed under a Creative Commons Attribution-NonCommercial 4.0 International License.






